在捕鱼达人 及附属医院领导的支持帮助下,2025 年 2 月,捕鱼达人 附属医院崔桂云和陈浩教授团队取得重大科研突破。其研究成果以论著形式,在线发表于国际神经病学领域的顶刊 ——《Brain》,论文题目为 “GGC Repeat Expansions in NOTCH2NLC Cause uN2CpolyG Cerebral Amyloid Angiopathy”,属于原创性研究成果。在这篇论文中,捕鱼达人 附属医院崔桂云教授和陈浩副教授为并列通讯作者,鲍磊博士和李晓文硕士为共同第一作者,捕鱼达人 附属医院既是第一单位,也是第一通讯单位。

此项研究具有多个 “首次” 突破。研究首次揭示,在 NOTCH2NLC 基因 GGC 三核苷酸序列重复扩增的情况下,uN2CpolyG 蛋白不仅会引发神经元核内包涵体病(NIID),还可导致脑小血管病。团队首次提出,这种脑小血管病的病理基础可能是脑淀粉样血管病(CAA),进一步扩展了该基因的致病谱系,同时首次发现由该基因突变导致的第七种非 Aβ 脑淀粉样血管病。考虑到该基因突变在中国和日本人群中的高发性,这一新发现的类型很可能代表东亚型(East Asian type)脑淀粉样血管病。这一成果对深入理解神经元核内包涵体病和脑淀粉样血管病的发病机制意义重大,更为相关疾病的诊断和治疗开拓了全新思路。

脑淀粉样血管病是一种以脑血管内淀粉样蛋白沉积为特征的疾病,常见于老年人和部分神经退行性疾病患者。以往,临床医师最为熟悉的是与 Aβ(β- 淀粉样蛋白)相关的脑淀粉样血管病类型。但近年来,研究陆续发现了多种非 Aβ 类型的脑淀粉样血管病,比如由 Amyloid-British 蛋白引发的 familial British dementia(英国型脑淀粉样血管病);由 Amyloid-Danish 蛋白引发的 familial Danish dementia(丹麦型脑淀粉样血管病);由 gelsolin 蛋白引发的 familial amyloidosis Finnish type(芬兰型脑淀粉样血管病);由 cystatin C 引发的 hereditary cerebral haemorrhage with amyloidosis Icelandic type(冰岛型脑淀粉样血管病);由朊蛋白引发的 Gerstmann-Sträussler-Scheinker syndrome;以及由转甲状腺素蛋白引发的脑膜血管淀粉样变。

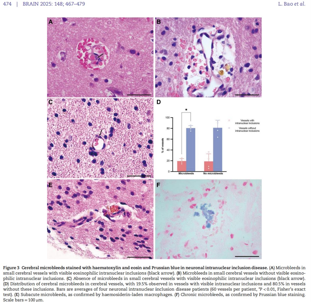
该研究成果显示,NOTCH2NLC 基因 GGC 重复扩增会使其翻译出富含甘氨酸的蛋白质 uN2CpolyG。这种蛋白质不仅会在神经元内聚集形成包涵体,还能沉积在血管壁形成淀粉样物质,导致患者出现进行性认知功能障碍、多发脑微出血、反复皮层下梗死、关键脑区白质病变(外囊、颞极)、脑叶出血等症状。这一发现有助于解释神经元核内包涵体病患者特有的一些临床表现,像卒中样发作、癫痫发作、偏头痛发作、脑炎样发作等,这些症状实际上可能是由脑血管淀粉样变引起的短暂性局灶性神经系统发作(TFNE),即 “淀粉样发作(amyloid spells)”。

相关成果:
长期以来,捕鱼达人 附属医院神经内科陈浩主任团队深耕神经元核内包涵体病的临床和基础研究领域,积累了大量患者病例和丰富的组织样本,相关规模处于国际前列,并收获了一系列成果:
1.创新诊疗方案:目前,神经元核内包涵体病仍缺乏特异性治疗药物,患者预后改善困难。自 2018 年起,在神经内科崔桂云、陈浩主任团队与中医科贾先红主任的共同带领下,医院率先提出中西医结合治疗神经元核内包涵体病的创新方案,为该病的临床诊疗开辟了新方向。基于此方案联合申报的 2024 年国家重大疑难疾病中西医临床协作项目 ——“神经元核内包涵体病” 项目,成功获得立项,标志着全国神经元核内包涵体病中西医诊疗进入新时代。
2.拓展疾病认知:率先提出 NOTCH2NLC 基因阳性的姿势性震颤可能只是神经元核内包涵体病的一种临床表型。此外,团队还发现神经元核内包涵体病是一种异质性和系统性包涵体疾病,其临床表现和病理谱可涉及全身几乎所有系统,并首次提出 并证实了“系统性包涵体疾病” ,该成果得到国内外其他研究团队的证实(Brain,2020年;Annals of Clinical and Translational Neurology,2021年)
3.优化检测方法:在病理检测方面,团队发现唇腺活检比国际通用的皮肤活检创伤更小、敏感度更高,是一种可替代皮肤活检的检测方法。同时,通过单中心队列研究,找到了免疫系统参与神经元核内包涵体病致病的临床和病理证据,进一步拓展了对该疾病作为系统性疾病的认知,并提出液体活检可作为神经元核内包涵体病的新型检测方法(EuropeanJournal of Neurology,2023年;Neuropathology and Applied Neurobiology,2024年)。
4.探索诊断新策略:通过收集全国多中心数据研究发现,外周血炎症可能与神经元核内包涵体病的发病机制有关。此外,团队利用中心临床数据库,首次在中华神经医学杂志报道了 SSR 在神经元核内包涵体病诊断中的价值。同时,结合该病典型的 “绸带征” 特点,联合医院信息中心开发了有助于诊断的影像诊断软件(Heliyon,2024年;《基于YOLOV3的神经元核内包涵体病患者核磁影像目标 定位系统V1.0》软件著作权,2024年;《基于MobileViT的神经元核内包涵体MRI智能诊断系统 V1.0 》软件著作权,2024年)
苏公网安备 32030302001025号